缺牙后选种植牙还是镶牙,是特别多人纠结的问题。两者都是常见的缺牙修复方式,却在原理、成效、适用人群上差异明显,没有完全地的“更好”,只有更适配自身情况的选择。结合营口团圆口腔肖宏亮医生的临床经验,从用户关心的角度拆解两者核心区别,帮大家精细匹配适合自己的修复方案,内容客观实用,无夸张表述。

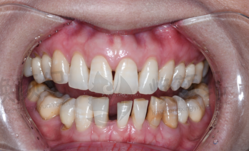
缺牙后选种植牙,特别多人都想参考真实实例,看看不同口腔条件下的治疗成效、修复过程和实际体验。营口团圆口腔肖宏亮医生深耕种植领域17年,接诊过各类缺牙病例,从单颗缺失到半口复杂种植都有丰富经验。下面分享3个不同类型的真实实例,从患者视角还原诊疗过程,给有需求的朋友提供参考,所有实例均经患者同意,无夸张表述。
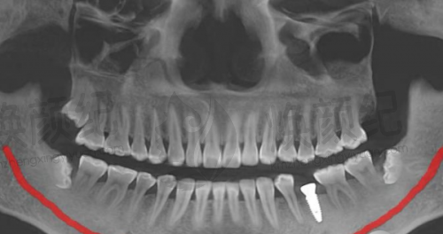
种植牙是通过手术将人工种植体(多为钛合金)植入牙槽骨内,待种植体与骨组织愈合后,再安装基台和牙冠,形成独立牙齿,无需依赖邻牙支撑,类似“种庄稼”般扎根牙槽骨。镶牙主要分固定义齿和活动义齿:固定镶牙(如烤瓷桥)需磨除两侧健康邻牙的牙体组织,以邻牙为“桥墩”固定中间假牙;活动镶牙则是通过卡环、基托固定在剩余牙齿或牙龈上,可自行摘戴,依赖口腔软组织支撑。

使用体验上,种植牙接近天然牙齿,咀嚼效率可达天然牙的80%以上,无异物感,清洁方式与正常刷牙一致,无需特殊护理。固定镶牙咀嚼效率尚可,但两侧邻牙被磨除后无法修复,可能出现敏感、龋坏;活动镶牙咀嚼效率较低,基托会有明显异物感,初期易恶心,且需每日摘戴清洁,长期使用可能磨损牙龈。耐用性方面,种植牙护理得当可使用15年以上,甚至终身;固定镶牙寿命约8-10年,活动镶牙寿命仅3-5年,需定期更换。

种植牙对牙槽骨条件要求较高,需有足够骨量支撑种植体,适合18-70岁、身体状况良好(无重度心脏病、糖尿病等)的患者,单颗、多颗、全口缺牙均可适用,但骨量不足者需额外做骨增量手术。镶牙适用范围更广,牙槽骨萎缩重度、身体无法耐受手术的老人,或预算有限者可选择;固定镶牙适合缺牙数量少、两侧邻牙健康的情况,活动镶牙适合多颗或全口缺牙患者。价格上,种植牙单颗2600元起(国产),镶牙单颗固定义齿1000元起,活动义齿全口3000元起,种植牙初期成本高,但长期性价比更高。

若牙槽骨条件达标、身体耐受手术,且追求长期舒适与耐用,优先选种植牙,尤其适合单颗或半口缺牙人群;若牙槽骨条件差、年龄较大无法耐受手术,或预算有限,可选择镶牙,多颗缺牙者可考虑活动镶牙,缺牙数量少且邻牙健康者可选固定镶牙。肖医生提醒,缺牙后应及时修复,避免牙槽骨进一步萎缩,具体方案需到院通过CBCT检查评估,结合自身情况和预算确定。

修复方式的选择需结合口腔检查结果,营口团圆口腔肖宏亮医生可针对缺牙情况、牙槽骨条件等,提供个性化修复建议。医院地址为站前区健康里9-1号,建议提前3-7天预约,到院后可通过CBCT明确自身适配方案,医生会详细说明每种方式的优缺点、费用及修复周期,帮大家做出合适选择。
种植牙和镶牙没有优劣之分,核心是适配自身情况。无论是哪种修复方式,选择正规医院和专精医生,才能保护修复成效和口腔健康,避免后续出现并发症。